NIKON 尼康 NIS-Elements L 相机控制器
使用平板电脑直观地控制相机
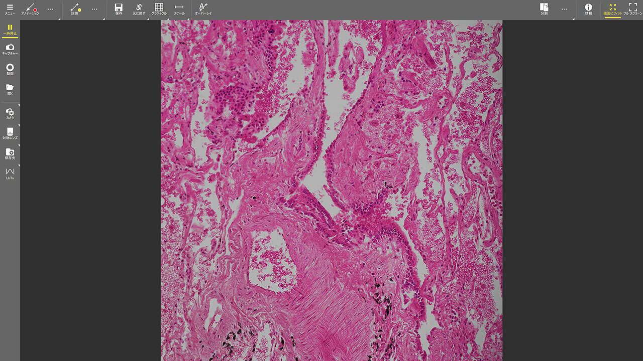
使用NIS-Elements L在平板电脑上轻松查看图像并设置Digital Sight 10、Digital Sight 1000和DS-Fi3相机的拍摄参数。
备注:仅适用于Windows®10 Pro。 NIS-Elements L中包含尼康指定的平板电脑。由于地区的差异,平板电脑规格可能有所不同。
* NIS-Elements L 不用于临床诊断。
主要特性
易于使用的界面
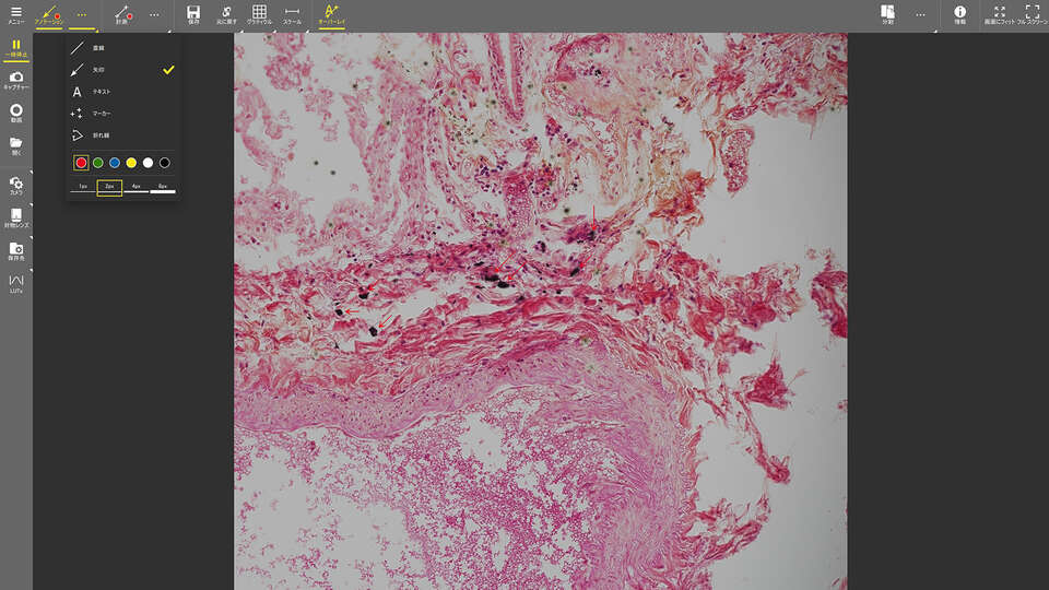
简化的菜单和直观的图标,可实现图像捕获、保存、显示、测量和注释。支持触摸屏功能,实现快速简便的控制。

提供简单的测量和注释工具。结果可以与图像一起保存并导出以供进一步使用。



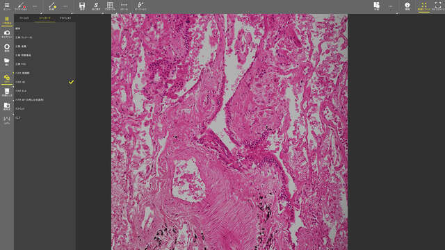
场景模式
根据显微镜光源,样品类型,不同观察方式优化的成像参数,可生成十种不同的场景模式,以获得最佳的色彩还原度和对比度。用户还可以做自定义设置。

流媒体功能
NIS-Elements L屏幕可以轻松地传输到同一网络上的其他PC及移动设备。 共享的内容可通过浏览器查看。 使用此功能,教师可以通过显微镜与教室中的所有学生轻松共享其屏幕视图。

附加功能
- 分屏显示:屏幕左侧显示实时图像,右侧显示保存的图像。使用同步功能时,两个图像的放大倍率可以同步。
- 相机信息:显示图像的直方图和元数据。
- 全屏:图像可以在整个屏幕上显示。
- 保存:显示的图像以新文件名保存。

分屏显示功能

相机信息
手机/微信:13242449659电话:0755-89355351 QQ:842471885 邮箱:842471885@qq.com