EVIDENT 奥林巴斯 VS200 研究级全玻片扫描系统
纵览全局、见微知著
利用SLIDEVIEW VS200研究级全玻片扫描系统轻松完成分析、共享和归档您的数据。 该系统通过采集载玻片的高分辨率图像以进行定量分析,使您能够充分利用载玻片所能提供的信息。
用于定量分析的出色图像质量更好的分辨率和平场性- X Line高性能物镜,拥有更高分辨率及平场性,可获得无拼接伪影及拼接痕迹的全景图。
- 经过优化的光路实现更均质的照明。
- 大功率真彩LED与卤素灯的光谱性能相匹配,因此紫色、青色和粉色的染色均可获得准确的渲染、成像和呈现。
- 配备了复眼透镜的荧光照明器可使光线均匀分布,获得明亮、照明均匀的图像。
了解有关X Line物镜的更多信息 |  |
|---|
灵活适用于诸多应用支持多种硬件选项VS200载玻片扫描仪是一个灵活性非常高的系统,支持各种载玻片大小、不同的物镜、SILA光学切片设备、加油泵、照相机、装载器和带多个滤光片组的LED/激光光源。 支持多种观察方法VS200支持明场、暗场、偏光、相衬和荧光,可以同时使用多种观察方式进行样品扫描。 灵活的软件解决方案VS200软件支持离线分析、深度学习、3D反卷积和批量格式转换。 它还支持使用NIS-SQL数据库进行数据管理,以及便于集成到实验室信息管理系统(LIMS)的DICOM格式。  | 
使用X Line UPLXAPO10X物镜拍摄的人类软骨。 |
|
以更少的时间获得更多的成果- 装载器最多可容纳35个样品托盘,共计210片26 × 76 毫米(1x3英寸)的载玻片。
- 机器人系统可快速安全地装载和卸载托盘,同时与聚焦和扫描单元协调工作以实现快速采集
- 集成式条形码读取器可自动捕获和记录载玻片信息
|
|
|---|
简单而强大的工作流程- 简单的用户界面—选择专家模式来自定义系统设置,或选择快速模式,使用软件为您优化的设置
- 参数设置的保存和调用,可加快重复性工作流程并实现标准化操作
- 设置可保存为项目并在多个用户之间共享
- TruAI技术—后处理深度学习可实现样品上形态特征的准确分割

|
|---|
为诸多应用提供可靠数据灵活的五种成像模式和出色的奥林巴斯X Line物镜使VS200载玻片扫描仪成为多种应用的解决方案。 
大脑研究使用AAV-GFP和AAVtdTomato标记的皮质-丘脑投射途径。 图像数据承蒙南加州大学凯克医学院医学哲学双博士、神经学教授Hong Wei Dong提供。 | 
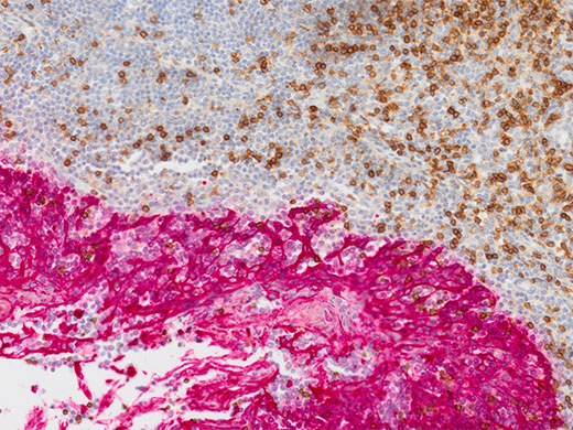
癌症和干细胞研究扁桃体CD3(rm),ImmPRESS试剂(HRP)抗小鼠IgG Immpact DAB(棕色),AE1/AE3(m)ImmPRESS(AP)(HRP)抗兔IgG Immpact Vector Red(红色)。 用苏木精QS(蓝色)复染。 图像数据承蒙Vector实验室提供。 | 
药物研发使用Dapi、GFP和RFP染色的胰腺。 图像数据承蒙新泽西州罗格斯癌症中心的Wenjin Chen提供。 |
|
| | VS200单托盘 | VS200多托盘装载器 |
|---|
| 预期样品 | 可观察样品 | 带盖玻片的载玻片 |
|---|
载玻片尺寸 (宽 × 长 × 高) | 标准载玻片托盘: 1) 25 mm–26.5 mm × 75 mm–76.5 mm × 0.9 mm–1.2 mm(1英寸x3英寸x0.05英寸) (6个载玻片) 可选托盘: 2) 51 mm–53 mm × 75 mm–76.5 mm × 0.9 mm–1.2 mm(2英寸x3英寸x0.05英寸) (3个载玻片) 3) 100 mm–102 mm × 75 mm–76.5 mm × 0.9 mm–1.2 mm(4英寸x3英寸x0.05英寸) (1个载玻片) 4) 126 mm–128 mm × 75 mm–76.5 mm × 1.1 mm–1.4 mm(5英寸x3英寸x0.06英寸) (1个载玻片) |
|---|
| 盖玻片厚度 | 0.12–0.17 mm |
|---|
| 观察方法 | 明场、反射明场(可选*1)、暗场、相衬(可选*2)、简易偏光(可选*3)、荧光(可选) |
|---|
| 光学框架 | 照明器 | 内置科勒照明,使用透射光、高强度和高显色性LED灯(使用寿命长达50,000小时) |
|---|
| 物镜 | 兼容物镜2倍、4倍、10倍、20倍、40倍、60倍和100倍;6位电动物镜转盘(含选定的油浸物镜、硅油浸物镜和相衬物镜) 可选配自动配油器 |
|---|
| 电动载物台 | 带自动控制的XY轴载物台 |
|---|
| 聚焦 | 带自动控制的电动对焦 |
|---|
| 彩色相机 | 集成式2/3英寸CMOS,3.45 μm × 3.45 μm像素尺寸,高灵敏度,高分辨率 |
|---|
| 扫描单元 | 容量 | 1个载玻片托盘,最多6个载玻片;可升级为多托盘装载器型号 | 最多35个载玻片托盘,最多210个载玻片 |
|---|
像素分辨率 (彩色相机) | UPLXAPO20X (NA 0.8):0.274微米/像素 可选项: UPLXAPO4X (NA 0.16):1.37微米/像素 UPLXAPO10X (NA 0.4):0.548微米/像素 UPLXAPO40X (NA 0.95):0.137微米/像素 UPLXAPO40XO (NA 1.25):0.137微米/像素 UPLXAPO60XO (NA 1.42):0.091微米/像素 UPLXAPO100XO (NA 1.45):0.055微米/像素 |
|---|
| 软件 | 自动样品检测(通用和TruAI深度学习)、自动条形码读取、自动聚焦地形图、自动扫描、自动拼接、暂停和恢复扫描、Z堆栈成像、扩展景深成像(EFI)、图像格式:vsi、JPEG、TIFF、DICOM、同步多图像显示、无级缩放、扫描时缩放、标注、屏幕捕获、玻片装载器控制(仅限多托盘装载器) |
|---|
荧光 (可选) | 荧光组件 | 配备了复眼透镜的照明器、电动激发块转盘、电动滤光片转轮 宽场光源选项:U-LGPS、Excelitas X-Cite XYLIS、X-Cite TURBO、X-Cite Novem |
|---|
| 单色相机 | 选项: VS-304M,1英寸CMOS,3.45 μm × 3.45 μm像素尺寸 HAMAMATSU ORCA Flash4.0 V3 HAMAMATSU ORCA Fusion HAMAMATSU ORCA Fusion BT |
|---|
扫描系统软件解决方案 (可选) | 解决方案许可 | 批量图像格式转换器 DICOM转换器 荧光 |
|---|
桌面版软件 (可选、独立分析解决方案) | 解决方案许可 | 批量图像格式转换器 DICOM转换器 检测和分析 深度学习 3D反卷积 |
|---|
| 环境 | 重量 | 光学框架:69 kg 1个载玻片托盘:0.6 kg | 光学框架和多托盘装载器:142 kg 35个载玻片托盘:21 kg |
|---|
荧光:8 kg PC机和显示器:16 kg 照相机罩(可选):9 kg |
| 运行环境 | 温度:15–28 °C(含其他设备) 湿度:最高80% (31 °C) |
|---|
| 电源 | 输入:AC 100–240 V,50/60 Hz,4 A 输出:DC 24 V,9.2 A |
|---|
| 功耗 | 输入:100–240 V AC; 50/60 Hz; 4 A 221 W |
|---|
*1 需要选配相衬物镜。 *2 需要选配分析镜单元和电动荧光转盘。 *3 要选配分析镜单元和电动转盘 |
手机/微信:13242449659电话:0755-89355351 QQ:842471885 邮箱:842471885@qq.com